Magnetická rezonance (MR)
Pracoviště magnetické rezonance
Umístění: Pracoviště se nachází vedle vstupní haly a RTG pracoviště, které je hned na druhé straně chodby.
Provozní doba: ambulantní pacienti – všední dny 7.15-13.45, pro tyto pacienty máme některé dny vyčleněny i odpolední a víkendové směny.
K provedení MR vyšetření je třeba žádanka od odesílajícího lékaře.
Co je magnetická rezonance?
Magnetická rezonance (MR) – někdy také uváděná jako nukleární magnetická rezonance (NMR) nebo Magnetic Resonance Imaging (MRI) je jednou z nejmodernějších diagnostických zobrazovacích metod, která je v současné době schopna vyšetřit většinu orgánů lidského těla. Některé orgány (např. nervy či mozkovou tkáň), bylo možné zobrazovat neinvazivně, až pomocí MR. Díky rozsahu nastavení vyšetření je možné dosáhnout rozlišení, které dalece přesahuje možnosti rentgenu či CT. Dalšího zlepšení může být ještě dosaženo podáním speciální kontrastní látky, která pomůže odhalit přítomnost zánětů či nádorových tkání. Vyšetření není bolestivé ani škodlivé pro lidský organismus. Patří mezi nejsložitější a nejdražší diagnostické zobrazovací metody.
MR má tyto výhody: podrobnější zobrazeni měkkých tkání, vyšetření ve třech základních rovinách, zobrazení mozkových cév bez podání kontrastní látky, nevyužívá ionizující záření.
Nevýhody MR jsou: relativně dlouhá doba vyšetření (cca 30 – 45 minut), hluk během vyšetření, možné vyvolání klaustrofobických pocitů u pacientů citlivých na stísněné prostory, cena vyšetření (cca 5000 až 10000 Kč).
Při vyšetření je pacient uložen do silného magnetického pole (na našem pracovišti má pole velikost 1,5 T, pro srovnání magnetické pole Země v ČR má velikost přibližně 20 µT), do jeho těla je vyslán krátký radiofrekvenční puls a po jeho skončení se snímá signál, který vytvářejí jádra atomů v pacientově těle. Tento signál se měří a dále používá k rekonstrukci obrazu.
Indikace MR vyšetření (kdy se má MR vyšetření provést)
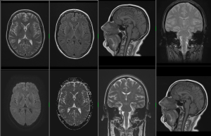
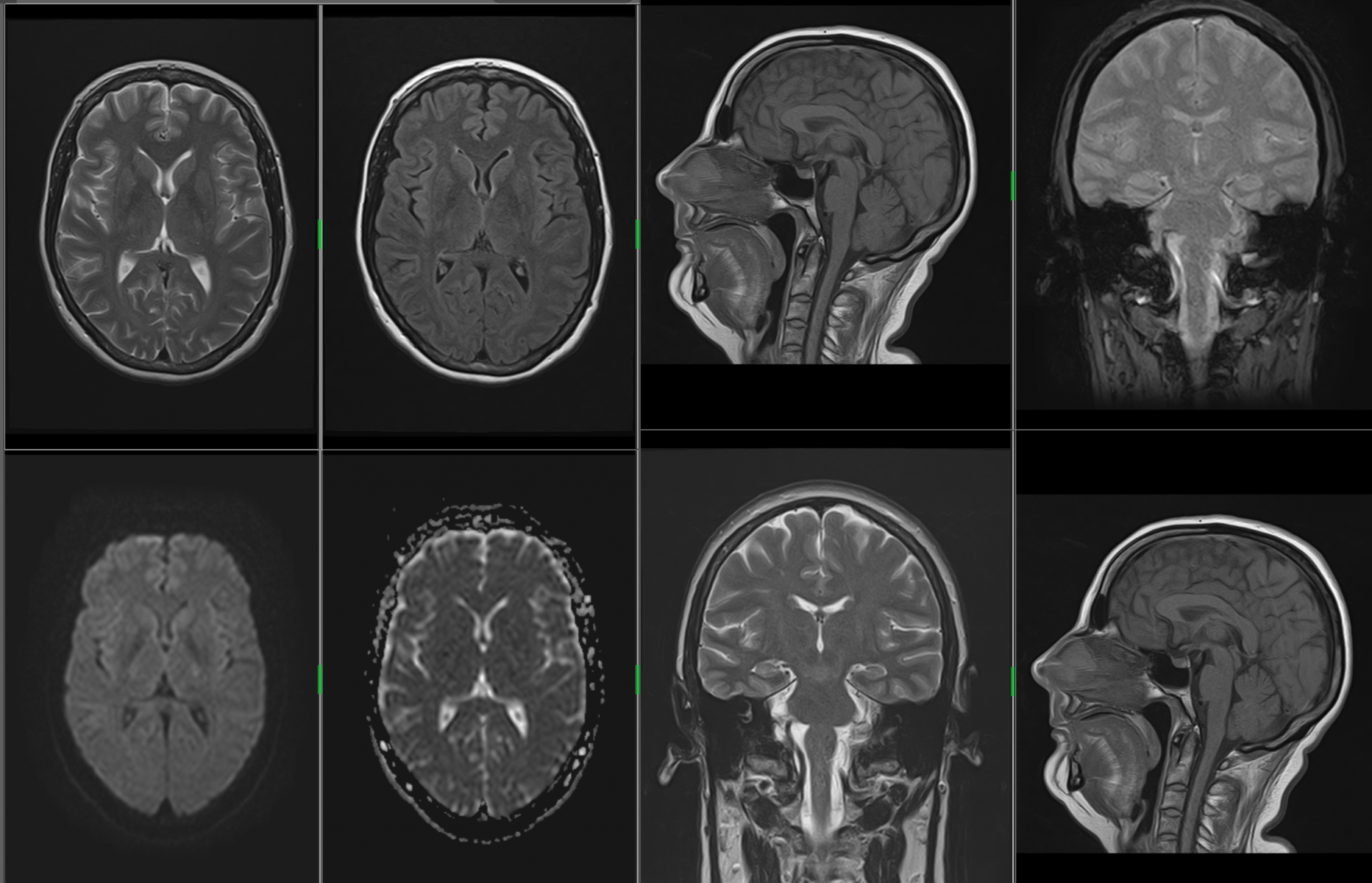
MR mozku
Nádorová onemocnění, zánětlivá onemocnění – zvláště pak demyelinizační onemocnění bílé hmoty (roztroušená skleróza), epilepsie, cévní onemocnění (malformace, aneuryzmata), neurodegenerativní onemocnění, vrozené vady, hydrocephalus všech typů, bolesti hlavy, psychické změny (včetně psychotických onemocnění), onemocnění hypofýzy a mozkových nervů, následky úrazů hlavy (zvláště se zaměřením na difusní axonální poranění a rozpadové produkty hemoglobinu (ferritin a hemosiderin)), MR je možno provést u akutních krvácení a k posouzení fraktur lebky, ale zde je vhodnější provedení CT.
MR páteře
Degenerativní onemocnění (ploténky, vazy, mícha, míšní nervy), metoda volby u nádorových a zánětlivých onemocnění míchy, spinální traumata – akutní vyšetření.
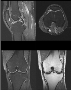
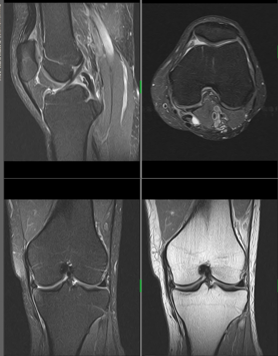
MR muskuloskeletálního systému
Vyšetření ramenního, kolenního, kyčelního, hlezenního kloubu, temporomandibulární (čelistní klouby), MR je suverénní při vyšetření menisků, vazů, chrupavek, svalů,MR dokonce zobrazí zlomeniny, které nejsou viditelné při běžném rentgenovém vyšetření nebo na CT (což je umožněno zejména identifikací edému), průkaz infekcí kostní tkáně (osteomyelitida) a nádorů (metastázy do kostí a kloubů).
MR diagnostika chorob cév
Angiografická vyšetření tepenného řečiště prakticky celého těla. Užití je zejména u karotických a intrakraniálních tepen, renálních tepen, aorty a končetinových tepen.
MR v břišní a pánevní oblasti
Diferenciální diagnostika jaterních lézí, cholangiopankreatografie – tzv. MRCP (neinvazivní obdoba ERCP), diferenciální diagnostika tumorů pankreatu, ledvin, staging karcinomu děložního čípku a endometria, staging karcinomu rektosigmatu, MR enterografie (u Crohnovy choroby).Rovněž se ve spolupráci s Urologickým oddělení Nemocnice České Budějovice a se specialisty místními a z okolních regionů specializujeme na diagnostiku karcinomu prostaty.
ORL
MR oblasti baze lební, kosti skalní (zejména měkkotkáňové), vedlejších dutin nosních. Dále pak nádory slinných žláz a nádory orofaryngu.
Oftalmologie
Patolologické procesy intraokulární i extraokulární jako jsou záněty, nádory, endokrinopatie a degenerativní onemocnění.
Kontraindikace MR vyšetření (kdy se nesmí MR vyšetření provést)
Absolutní kontraindikace (překážka) vyšetření magnetickou rezonancí je: implantovaný kardiostimulátor nebo defibrilátor (ICD), ponechané elektrody po deplantaci kardiostimulátoru nebo defibrilátoru, aneuryzmatické cévní svorky (klipy) – pokud není písemně doložena jejich MR kompatibilita, kochleární (sluchový implantát), inzulinová pumpa – pokud není písemně doložena její MR kompatibilita, kovová cizí tělesa z jiného než prokazatelně nemagnetického materiálu v oblasti mozku a oka. Vyšetření pomocí MR se také neprovádí v 1. trimestru těhotenství.
Na MR lze vyšetřovat s určitým omezením pacienty, kteří mají v těle implantovány (voperovány) stenty (cévní výztuže), žilní filtry, kovový embolizační materiál, okludery, kloubní náhrady, osteosyntetický materiál, dentální implantáty, neaneuryzmatické chirurgické cévní svorky (hemostatické klipy), svorky na žlučových cestách a to 6 a více týdnů, bez známek uvolňování.
Pokud má pacient fixní rovnátka na zubech, je nutné konzultovat tuto skutečnost s ošetřujícím lékařem, který by měl odvázat od aparátu drátěné oblouky, zejména z nerezavějící oceli, a dráty chromkobaltové, stejně tak transpalatinální oblouky a snímatelné lingvální oblouky. Zkontroluje pevnost fixace zámků, kroužků a přilepených retenčních drátů a napíše pro radiologa prohlášení (formou „Výměnného listu“ nebo „Lékařské zprávy“), že byly sejmuty odlučitelné části, že aparát je správně fixován a že nepředpokládá problém s MR vyšetřením. Kovové zubní výplně vyšetření nijak nebrání. Pokud se kovové implantáty nebo cizí tělesa nachází ve vyšetřované oblasti, může dojít k výpadku nebo deformaci obrazu.
Příprava před vyšetřením
Na MR vyšetření není třeba žádná speciální příprava. Výjimkou je pouze MR enterografie (vyšetření tenkého střeva pomocí MR), které vyžaduje dokonalé vyprázdnění střevního obsahu před vyšetřením. Přípravu na MR enterografii je možné stáhnout níže na této stránce. Na všechna vyšetření je důležité, nemít u sebe žádné kovové předměty. K vyšetření přicházejte bez kontaktních čoček a nalíčení – bez řasenek, make-upu, pudrů, vlasových gelů, laků apod. Pokud budete nalíčená, budete vyzvána k odstranění make-upu.
Průběh vyšetření
Po vstupu do přípravné kabinky budete vyzván/a k odložení Vašeho svrchního oděvu, abychom vyloučili přítomnost jakéhokoliv kovového předmětu v magnetickém poli. K převlečení Vám poskytneme empírový plášť. Zároveň budete vyzván/a k odložení zubní protézy, naslouchadla, protetických pomůcek, podprsenky, opasku, paruky, vlásenek, pinet, vlasových jehlic, špendlíků, svorek apod., všech kovových mincí, klíčů, hodinek, kreditních karet, náprsní tašky, brýlí, mobilních telefonů, prstenů a šperků.
Po splnění výše uvedených úkonů budete uveden/a do vyšetřovny, kde již působí magnetické pole. Poté Vás pohodlně uložíme na vyšetřovací stůl a vyšetřovanou část těla uloží buď do kruhové cívky (hlava, krk, končetiny) nebo na rovnou cívku (páteř, ostatní vyšetřované okrsky těla). Budete požádán/a, abyste po celou dobu vyšetření, které trvá zhruba 30–60 minut, ležel/a klidně, nehýbal/a se a pravidelně dýchal/a. Každý Váš pohyb znehodnotí vyšetření. Vyšetření bude provázeno velkým hlukem, který způsobují přístrojové součásti. Tento hluk je normálním úkazem a neměl by Vás znepokojovat. Budete-li si přát chrániče sluchu, rádi Vám je poskytneme. Následně Vás zavezeme na lůžku do tunelu, což může vyvolat nepříjemné pocity. Ujišťujeme Vás, že po celou dobu vyšetření je tunel zásobován čerstvým vzduchem z ventilátoru, personál Vás po celou dobu vyšetření sleduje kamerou a jste s ním spojen/a prostřednictvím signálního tlačítka, které budete držet během vyšetření v ruce.
Bude-li povaha vyšetření vyžadovat aplikaci kontrastní látky, bude Vám do loketní žíly zavedena nitrožilní kanyla.
Rizika a možné komplikace výkonu
Během vyšetření se může objevit tzv. panická reakce, tj. strach z uzavřeného prostoru, úzkost, tíseň, neklid. Z těchto důvodů máte možnost zmáčknutím speciálního tlačítka, které držíte během vyšetření trvale ve Vaší ruce, ohlásit vyšetřujícímu personálu tuto obtíž. Personál se bude akutním problémem ihned účinně zabývat a má možnost Vás během několika vteřin vyvézt z tunelu.
V některých případech je nutná aplikace kontrastní látky (cheláty gadolinia). O její aplikaci rozhoduje vyšetřující lékař. Protialergická příprava se před vyšetřením nevyžaduje. Výskyt alergických reakcí na kontrastní látky používané při vyšetření magnetickou rezonancí je velmi vzácný, ale nelze alergickou reakci vyloučit. Proto je nutné vědět, zda pacient již v minulosti nějakou alergickou reakci měl. Ujišťujeme Vás však, že personál je obeznámen s metodikou zvládání alergických reakcí. MR vyšetření Vás/Vaše dítě nijak neomezí v obvyklém způsobu života.
Prováděná vyšetření
Na našem pracovišti provádíme vyšetření mozku, orbit, hypofýzy, krční páteře, hrudní páteře, bederní páteře, kolenního kloubu, ramenního kloubu, jater a pankreatu, MRCP, ledvin a nadledvin, pánve, MR enterografii, MR angiografii intrakraniálních tepen, MR angiografii mozku – venózní, MR angiografii karotid, MR angiografii tepen dolních končetin, MR angiografii renálních tepen a vyšetření ostatních kloubů těla.
- Žádanka na vyšetření magnetickou rezonancí – doc
- Žádanka na vyšetření magnetickou rezonancí – pdf
- Žádanka na vyšetření magnetickou rezonancí – odt
- Informovaný souhlas s MR vyšetřením
- Informovaný souhlas MR prostata
- Informovaný souhlas MR pánev
Metodický pokyn – kontraindikace a rizika vyšetření pomocí magnetické rezonance
V tomto metodickém pokynu naleznete:
- Metodický list pro vyšetřování pacientů s kovovými implantáty na MR
- Doporučené odborné stanovisko pro vyšetřování pacientů s fixními ortodontickými aparáty magnetickou rezonancí
- Doporučený postup při vyšetřování pacientů s MR kompatibilními kardiostimulátory
- Doporučení pro aplikaci gadoliniových kontrastních látek se zřetelem na minimalizaci rizika vzniku nefrogenní systémové fibrózy
MR přístroj
Od poloviny prosince 2013 je naše oddělení vybaveno přístrojem Toshiba Vantage Titan 1,5 T. Jedná se o přístroj, který má průměr otvoru gantry 71 cm a délku gantry 1,4 m. To ho činí přístrojem s největším otvorem a nejkratším gantry na trhu. Je zde možnost vyšetření, kdy pacient je uložen nohama směrem do gantry (u určitých druhů vyšetření), tudíž to snižuje pocit klaustrofobie. To vše zaručuje zvýšený komfort pro pacienta. Ten je umocněn sníženou hlučností během vyšetření, kterou zajišťuje systém Pianissimo™.





