Výpočetní tomografie (CT)
CT pracoviště
Umístění: CT pracoviště se nachází na konci chodby RTG oddělení.
Provozní doba:
| Pro objednané pacienty | 7:15 – 10:00; 11:30 – 13:45 |
| Pro urgentní případy | nepřetržitě |
Co je výpočetní tomografie?
Výpočetní tomografie je moderní zobrazovací metoda, která využívá rtg záření rentgenky, umístěné v
tunelu (gantry) tomografu. Rentgenka se v tunelu pohybuje po kružnici okolo stolu s pacientem a rovněž se většinou zároveň pohybuje i lůžko s pacientem v tunelu. Výsledkem je pak šroubovicový (helikální) pohyb rentgenky. Detektory rozmístěné po obvodu tunelu snímají rentgenové záření, které projde tělem pacienta. Každá tkáň v těle má jinou míru absorpce záření a toho se využívá pro jejich zobrazení.
Indikace (co vyšetřujeme na CT)
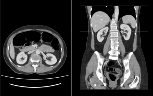
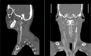
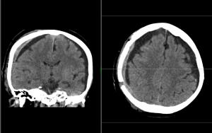
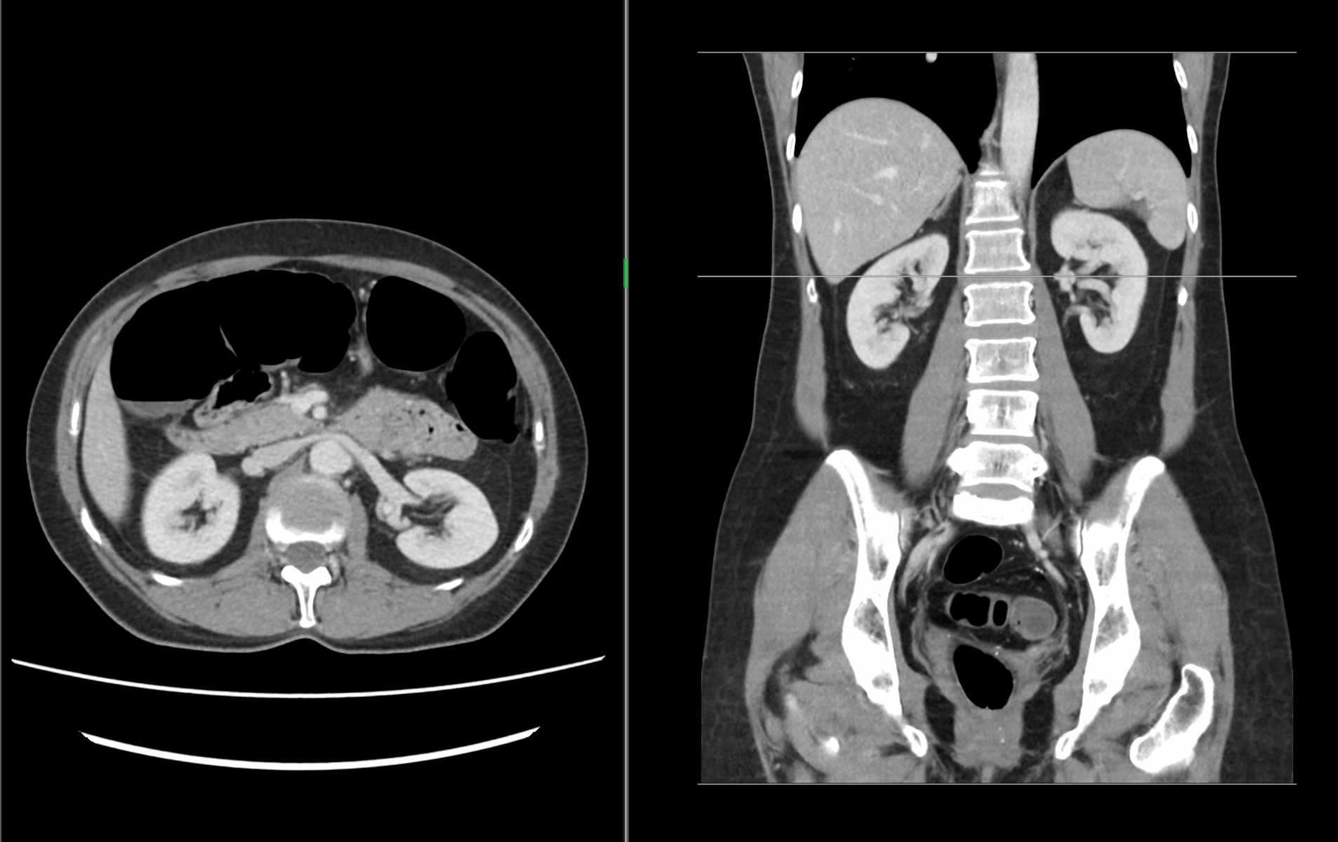
CT vyšetření často následuje po rtg snímku nebo sonografickém vyšetření. Cílem vyšetření je upřesnit nález. Spektrum vyšetření je rozsáhlé. Hodí se velmi dobře například k vyšetření kostí a plicní tkáně. Používá se u úrazů (mozku, páteře, pánve, končetin, hrudníku, břicha a cév), komplikací zánětů (abscesy, záněty pohrudnice a pobřišnice), u nádorových onemocnění k posouzení rozsahu postižení (staging) a rovněž k následným (dispenzárním) kontrolám, u cévních mozkových příhod (přítomnost krvácení nebo poruchy prokrvení mozku, ischemie), dále k vyšetření větších cév (CT angiografie, CTA) mozku, krku, aorty (srdečnice), hrudníku, břicha a končetin. Provádíme zde vyšetření páteře, například u výhřezu ploténky. Na CT lze vyšetřit i tlusté střevo (virtuální kolonografie). Pomocí navigace CT můžeme provádět odběr tkáně na vyšetření, aplikaci látek například zklidňujících utlačené nervy, můžeme také cíleně provádět drenáže patologických kolekcí tekutiny, většinou abscesy.
Příprava před vyšetřením
V případě vyšetření s kontrastní látkou se k vyšetření dostavte nalačno (min. čtyři hodiny před vyšetřením můžete pít pouze malé množství tekutiny – 100 ml/hodinu, ne kávu a alkohol). Je-li prováděno cíleně CT vyšetření trávicího traktu (tenké a tlusté střevo), je nutná důkladnější příprava (vyprázdnění střeva) dle pokynů ošetřujícího lékaře, který vyšetření objednává. Další nutná příprava pak bude provedena v den vyšetření dle pokynů vyšetřujícího lékaře (radiologa). V případě, že trpíte alergií na jakékoli látky (včetně pylové alergie a bodnutí hmyzem), upozorněte na to předem Vašeho ošetřujícího lékaře i personál CT pracoviště. Velmi důležité je informovat ošetřujícího lékaře i personál CT pracoviště, zda jste v minulosti neprodělal/a alergickou reakci na nitrožilní podání jodové kontrastní látky, a to nejen při CT vyšetření, ale i při vyšetření cév (angiografie, flebografie) nebo ledvin (vylučovací urografie). Dále sdělte personálu CT pracoviště, zda trpíte poruchou funkce ledvin, bronchiálním astmatem či zeleným očním zákalem. Radiolog zvažuje nutnost podání kontrastní látky případně doporučí preventivní podání léků k vyloučení možných komplikací spojených s nitrožilním podáním kontrastní látky. Perorální příprava na CT vyšetření
V čekárně před vyšetřením vyplníte sami nebo ve spolupráci se sestrou Informovaný souhlas s CT vyšetřením, jehož součástí je i dotazník, kde se ptáme na léky, které užíváte, na Vaše nemoci a alergie, u žen na těhotenství).
Vyšetření
Celková doba vyšetření včetně se pohybuje mezi 10-30 minutami. Obecně jsou delší vyšetření s podáním kontrastní látky nitrožilně. Většinu času zabere příprava a plánování vyšetření. Vyšetření provádí proškolený laborant (radiologický asistent). Vlastní skenování trvá jen několik desítek vteřin. Nejvíce času zabere zhodnocení vyšetření lékařem (radiodiagnostikem). Výsledek vyšetření je u akutní stavů většinou hotový do hodiny, u neakutních obvykle do druhého dne.
Průběh vyšetření
Vyšetření je nebolestivé, pacient musí v průběhu vyšetření ležet v klidu na CT stole (většinou na zádech), který se v průběhu snímkování (skenování) pohybuje směrem do nebo vně tunelu. Některá vyšetření jsou se zadržením dechu. Často je pro lepší výsledek (zvýraznění kontrastu jednotlivých tkání) podávána v průběhu vyšetření nitrožilně speciální kontrastní látka s obsahem jodu, většinou do žíly na předloktí nebo v loketní jamce. Jodové kontrastní látky jsou na CT obrazech dobře vidět. Někdy rovněž probíhá příprava s podáním kontrastní látky, kterou pacient před vyšetřením vypije.
Během a bezprostředně po nitrožilním podání kontrastní látky se u Vás mohou vyskytnout průvodní jevy, zejména pocit tepla po těle, ojediněle se může dostavit nevolnost či bušení srdce. Tyto pocity za krátkou dobu odezní.
Rizika CT vyšetření
Kontrastní látka může vyvolat ve vzácných případech alergickou reakci. Většina reakcí je lehké formy, projevuje se vyrážkou, která rychle vymizí. Možné je též mírné snížení tlaku nebo dušnost na podkladě zúžení průsvitu průdušek. Ve velmi vzácných případech může dojít k těžké alergické reakci (hypotenze, tachykardie, bronchospasmus, edém laryngu, plic, křeče), která vyžaduje rychlý lékařský zásah a hospitalizaci pacienta. V ojedinělých případech došlo i k úmrtí. Rozpoznání i způsob léčby těchto komplikací závisí na závažnosti alergické reakce a personál CT pracoviště je na ně připraven. Kontrastní látka může v některých případech poškodit některé orgány, zejména ledviny – tzv. kontrastní nefropatie.
Pacient proto musí před vyšetřením uvést, zda je na něco alergický (léky, potraviny, pylová alergie, jód), v takovém případě je potom nutná protialergická příprava, kterou zajistí na vyšetření odesílající lékař.
CT přístroj využívá rentgenového záření. Přestože se množství dávky v porovnání se staršími přístroji významně snížilo, je však většinou vyšší, než u prostého snímku. Jednotlivá vyšetření nebezpečná pro zdraví nejsou, získané diagnostické poznatky z CT navíc při správné indikaci daleko převyšují stupeň rizika spojeného s obdrženou dávkou. U gravidních pacientek vyšetření provádíme jen zcela výjimečně, pokud není jiná alternativa (zejména urgentní stavy, například úrazy, nevysvětlitelné bezvědomí apod.).
Kontraindikace (kdy se nesmí CT vyšetření provést)
1) Nativní CT vyšetření (vyšetření bez použití kontrastní látky) – v indikovaných případech jej možno použít kdykoli. Relativní kontraindikací je těhotenství.
2) CT vyšetření s kontrastní látkou
Před podáním kontrastní látky by měli být pacienti dostatečně zavodnění (prevence tzv. kontrastní nefropatie). 4 hodiny před výkonem vyšetřovaný omezí perorální příjem pouze na čiré tekutiny v malém množství (100 ml/h) a nepřijímá již žádnou stravu. Zvýšenou pozornost před vyšetřením s podáním kontrastní látky věnujeme dětem, starším pacientům, pacientům s polyvalentní alergií nebo astma bronchiale, s poruchou funkce orgánů, zejména ledvin, u nestabilních klinických stavů (srdeční selhávání pooperační stavy), u pacientů s diabetem, po orgánových transplantacích (zejména ledviny).
Relativní kontraindikace podání jodové kontrastní látky – závažná alergoidní reakce při podání jódové kontrastní látky, těžké funkční poruchy ledvin a jater (kreatinin nad 300), tyreotoxikóza, mnohotný myelom, léčba a vyšetření radioaktivními izotopy jodu. U těchto stavů vždy zvažujeme provedení jiného typu vyšetření (UZ, MR).
Odkazy
- Informovaný souhlas s CT vyšetřením
- Doporučení ESUR pro intravenosní podání KL
- Metformin a JKL
- Perorální příprava na CT vyšetření
- Jodové kontrastní látky, protialergická premedikace, poznámky k doporučením ESUR
- Používání rentgenů – lékařské ozáření, SÚJB
CT přístroj (skener)
CT Aquilion PRIME od firmy Toshiba byl na našem oddělení nainstalován začátkem roku 2018. Jedná se o multidetektorový CT systém (MDCT) s 80 řadami detektorů o šířce jen 0,5 mm. Velký počet detektorových elementů a velmi rychlá rotace výkonné rentgenky v gantry umožňují rychlý sběr dat a zkracují dobu snímkování (skenování). Průměr gantry je 780 mm, nosnost vyšetřovacího stolu až 300 kg. Tato kombinace je ideální systém pro všechny typy vyšetření, například pro vyšetření pacientů s úrazy nebo nadměrnou váhou.
Přístroj je vybaven řadou funkcí, které snižují expoziční dávku pacienta. Například se jedná o moderní typ rekonstrukce obrazu pomocí iterativních metod AIDR 3D (Adaptive Iterative Dose Reduction 3D), dále je stroj vybaven aktivním kolimátorem a expozičním automatem, apod. Technika SEMAR (Single-Energy Metal Artifact Reduction) využívá sofistikovaný algoritmus k odstranění artefaktů způsobených kovovými implantáty a dlahami, a tím zlepšuje vizualizaci jak implantátů, tak okolních struktur, kostí a měkkých tkání, potřebnou pro přesnou diagnózu. Naše CT nabízí díky kombinaci výše popsaných parametrů kvalitní obraz při velmi nízké radiační zátěži.
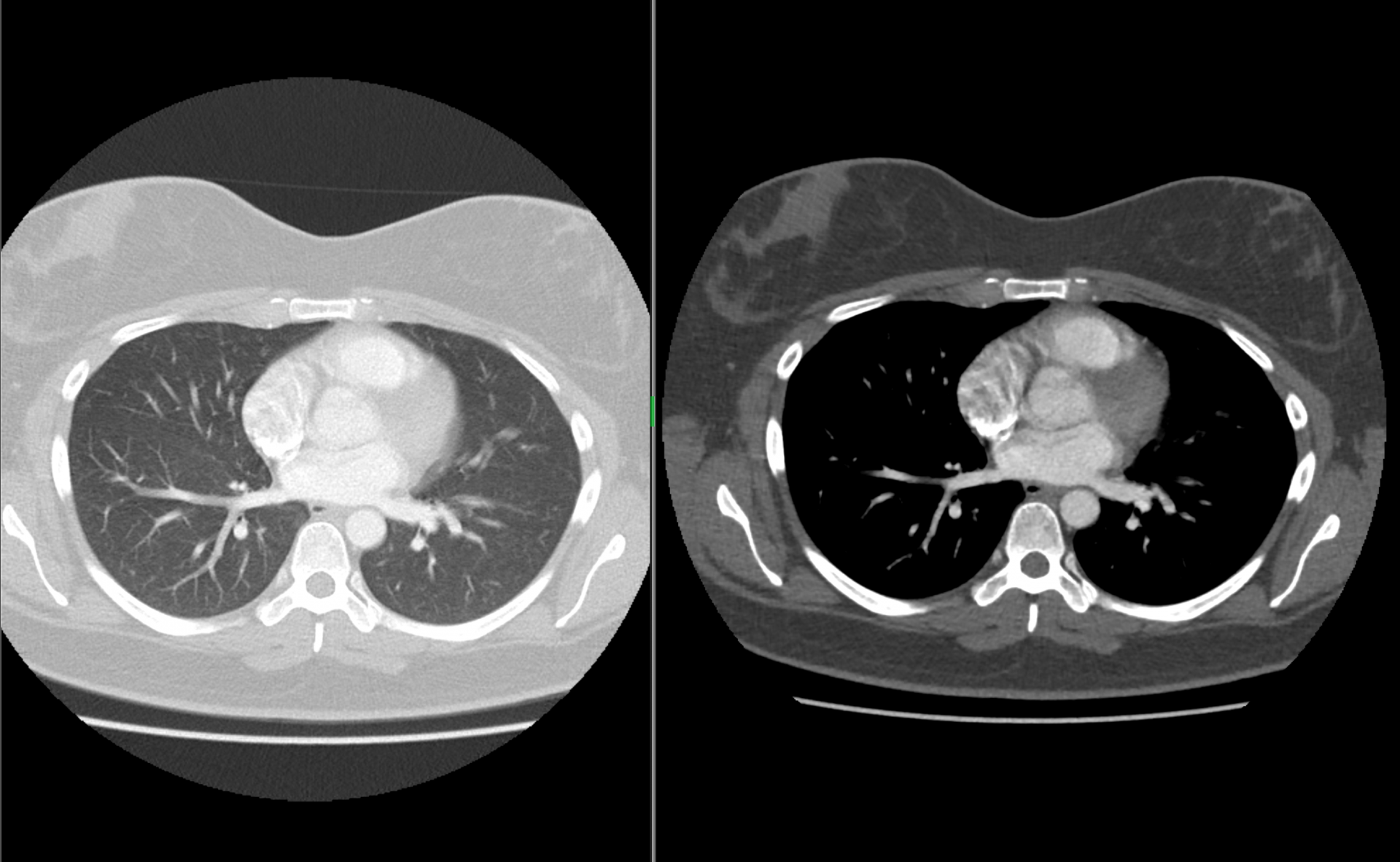
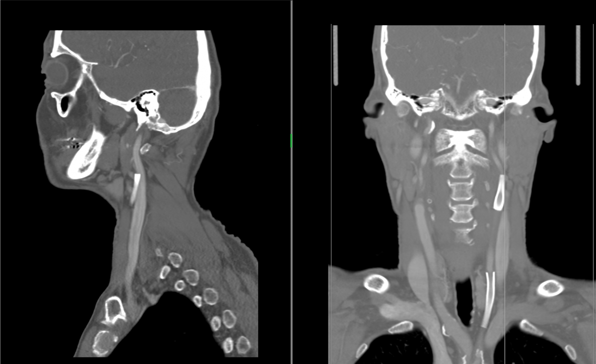
Ukázky snímků




