Intervenční metody
Intervenční výkony provádíme pod kontrolou zobrazovacích metod – na CT, ultrazvuku nebo skiaskopii.
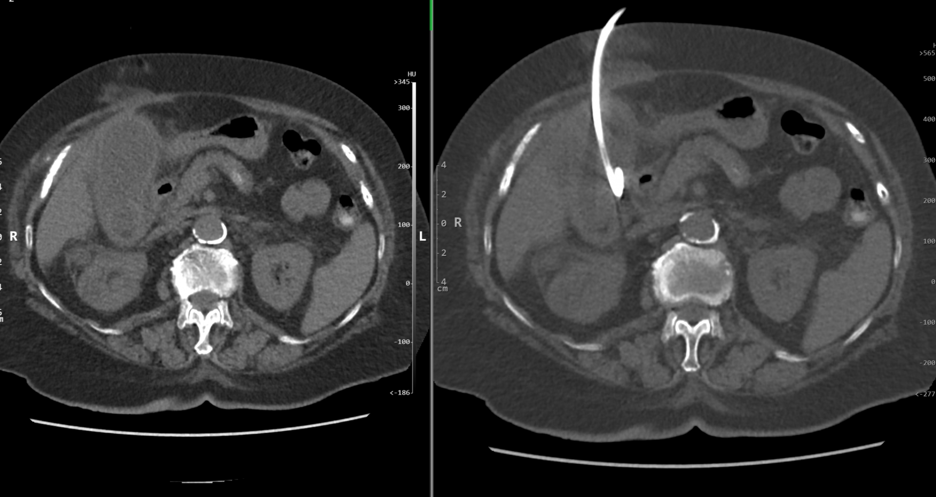
Kořenový obstřik – periradikulární terapie (PRT)
Tato léčba je vhodná pro pacienty s bolestí při útlaku nervového kořene. Příčinou útlaku kořene bývá nejčastěji výhřez ploténky, degenerativní změny, pooperační změny, zúžení páteřního či kořenového kanálu.
Základem úspěchu této terapie je správný výběr pacienta. Vždy je nezbytné srovnání klinického nálezu a nálezu na zobrazovacích metodách (RTG, CT nebo MRI).
O indikaci k výkonu rozhoduje ošetřující lékař. Nejčastěji neurolog, ortoped, lékař RHB.
Průběh výkonu
- Výkon je obvykle rychlý a minimálně bolestivý.
- Pacient při výkone leží na břiše. Úvodem se provede vyšetření vybraného úseku páteře k přesnému zacílení výkonu. Po výběru místa vhodnému k vpichu je kůže zad natřena desinfekcí, případně je provedeno místní umrtvení kůže a podkoží zad Mesocainem.
- Poté je k nervovému kořeni zavedena velmi tenká jehla. Po přesném umístění hrotu jehly je k meziobratlovému otvoru aplikována směs 3,5 ml Marcainu a 1 ml Diprophosu.
Marcain je dlouhodobě působící lokální anestetikum. Diprophos kortikoid, který má protizánětlivé a antiedematozní účinky zmenšuje otok nervového kořene.
Úspěšnost výkonu
Úspěšnost výkonu je asi 85 %, efekt trvá několik měsíců, u některých pacientů potíže zcela vymizí.
Při neúspěchu nebo částečném úseku lze výkon opakovat.
Rizika
- Rizikovost výkonu je obecně velmi malá, vzhledem k opakovaným kontrolám polohy jehly.
- Může dojít k poškození nervového kořene, alergické reakci, aplikaci léčebné směsi do cévy.
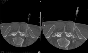
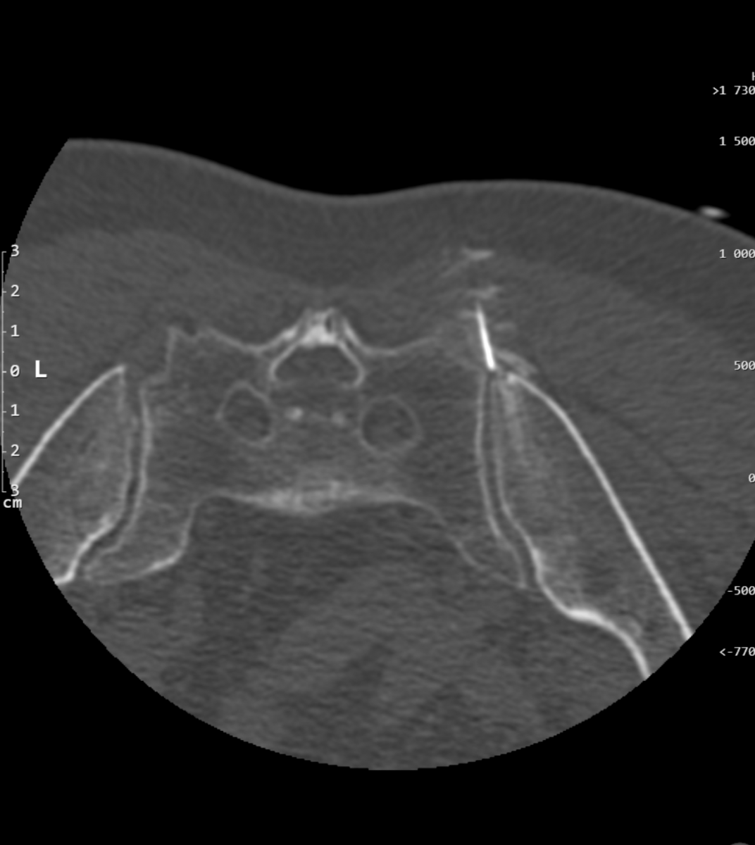
Obstřik kloubků páteře – facetová denervace (FD) a obstřik SI (křížokyčelního) skloubení
Tento zákrok je vhodný pro pacienty s bolestmi zad a křížové oblasti při degenerativních změnách (artróze) drobných kloubů páteře a SI sloubení.
O indikaci k výkonu rozhoduje ošetřující lékař, nejčastěji neurolog, ortoped, lékař RHB.
Průběh výkonu
Výkon je obvykle rychlý a minimálně bolestivý.
Pacient při výkonu leží na břiše. Úvodem se provede vyšetření vybraného úseku páteře k přesnému zacílení výkonu. Po výběru místa vhodnému k vpichu je kůže zad natřena desinfekcí.
Poté je k meziobratlovému/SI kloubu zavedena velmi tenká jehla. Po přesném umístění hrotu jehly je ke kloubu aplikována směs 3,5 ml Marcainu a 1 ml Diprophosu.
Marcain je dlouhodobě působící lokální anestetikum. Diprophos kortikoid má protizánětlivé a antiedematozní účinky.
Úspěšnost výkonu
Úspěšnost tohoto výkonu je zpravidla velmi vysoká, pacientům se na dlouhou dobu uleví od bolesti.
Rizika výkonu jsou malá, v úvahu přichází alergická reakce či aplikace účinné látky do cévy.
Chemická lumbální sympatektomie pod CT (CHLSE)
Co je chemická lumbální sympatektomie pod CT kontrolou?
Jedná se o jednu z metod používanou k léčbě bolesti, která provází poruchy prokrvení dolních končetin, nejčastěji ischemickou chorobu dolních končetin, může být též indikována při léčbě bolestí amputačního pahýlu a u fantomových bolestí po amputaci dolní končetiny a u jiných poruch prokrvení (Raynadův syndrom, bolesti po omrzlinách apod.), též z dalších méně častých příčin.
Provedení sympatektomie pod CT je velmi elegantní a rychlou metodou. Podobný typ výkonu lze provést chirurgicky, přičemž chirurgický výkon je vždy delší, jednoznačně více zatěžující a v mnoha případech ho z různých důvodů nelze provést.
Kdo rozhodl o výkonu?
Lékař, který Vás vyšetřil ambulantně nebo při pobytu v nemocnici zná Váš zdravotní stav a rozhodnul se, že prospěch z navrhovaného výkonu významně převyšuje možná rizika. Konzultoval Vaše onemocnění s radiodiagnostickým oddělením a usoudil, že tato metoda je vhodná.
CHLSE bude provádět rentgenolog , který je vyškolen v technice provádění výkonu. Při vyšetření pomáhá lékaři radiologický asistent, který ovládá CT přístroj. Výkon se provádí na radiodiagnostickém oddělení naší nemocnice, na vyšetřovně CT (počítačová tomografie).
Na výkon budete krátkodobě hospitalizován/a na oddělení chirurgie, výjimečně na oddělení jiném. Na výkon nemusíte přijít zcela nalačno, stačí, když nebudete jíst cca 2 – 3 hodiny před výkonem, i když jídla, která požijete v den výkonu by měla být spíše lehká, 1/2 hodiny před výkonem se můžete napít. Můžete normálně užívat léky, které běžně užíváte. Na CT vyšetřovnu, kde se výkon provádí budete převezen většinou na posteli.
Co se vlastně při CHLSE odehrává?
Při výkonu budete ležet na břiše, a nebudete se hýbat, celý výkon trvá většinou 15 – 20 minut, výjimečně déle. Zezadu lékař zavede tenkou jehlu (tenčí než na odběr krve) do místa, kde probíhají kmeny sympatického nervstva (vedle páteře) a injektuje léčebnou směs sestávající z alkoholu, anestetika a malého množství kontrastní látky, celkové množství směsi je okolo 13 ml. Aplikace směsi může být spojena s nepříjemnými zážitky – většinou bolestmi do břicha či do zad, též se můžete celkově potit. Poté, co je směs umístěna, lékař vytáhne jehlu a místo přelepí.
Po výkonu budete uložen/a na lůžko, kde v klidu setrváte cca 4 hodiny, můžete si dojít na WC, můžete jíst i pít, v nemocnici zůstanete přes noc. O rozpisu dalších kontrol Vás bude informovat lékař, který Vás na výkon objednal.
Léčebná rizika
Jako u všech intervenčních výkonů, i při CHLSE existují určitá malá rizika spojená s prováděním výkonu (1 – 5 %), lze je dělit do následujících skupin:
- Infekční komplikace v místě vpichu a v místě uložení léčebné směsi – většinou se jedná o hnisavé infekce, které se léčí antibiotiky, výjimečně je nutné přistoupit ke složitějším, jmenovitě chirurgickým, zákrokům.
- Poškození okolních orgánových struktur – zejména ledvinné pánvičky či močovodu, nechtěná punkce cév nemá při použití tenké jehly význam, výjimečně se může objevit krvácení v místě vpichu.
- Lokální reakce na terapeutickou směs – náhlé snížení tlaku – pokud se však výkon se v jednom sezení provádí pouze na jedné straně, riziko malé. Dále jsou možné vegetativní komplikace – přechodné poruchy vyprazdňování střev a močového měchýře, zvýšená citlivost v průběhu některých nervů, které odstupují blízko místa, kam se ukládá léčebná směs (na hýždích, na hrázi, na stehně, v zádech).
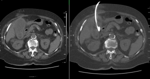
Perkutánní biopsie a drenáž tekutinové kolekce pod kontrolou CT
Perkutánní biopsie (drenáž) pod kontrolou CT (počítačové tomografie) je definována jako cílené umístění speciální bioptické jehly nebo drénu do chorobného ložiska za účelem odběru tkáně, buněk či tekutiny pro další šetření.
Perkutánní biopsie je diagnostický výkon – odběr vzorku tkáně z chorobného ložiska. Je nutná pro přesnější určení povahy chorobného procesu, ze kterého byl vzorek odebrán, je nutná pro stanovení dalších léčebných postupů. Často rozhodne, zda-li se jedná o zhoubný či nezhoubný proces a umožní usměrnit další léčení.
Perkutánní drenáž je zavedení tenké trubice (drénu) do kolekce tekutiny v těle. Jedná se o výkon léčebný i diagnostický. Dutina s tekutinou je při drenáži vypuštěna, odebraná tekutina je odeslána k rozboru.
Kdo rozhodl o výkonu?
O výkonu rozhoduje ošetřující lékař spolu s lékařem radiologem provádějícím tento výkon. Výkon se provádí za hospitalizace v nemocnici. Pokud nebudete hospitalizován/a z jiného důvodu, budete na krátkou dobu (cca 2 dny) k výkonu přijat/a. Za přípravu před tímto vysoce specializovaným výkonem je odpovědný Váš ošetřující lékař.
Před výkonem má pacient většinou zavedenu žilní kanylu.
Po výkonu je pacient uložen na lůžko indikujícího oddělení ke sledování.
Co se vlastně při biopsii odehrává?
Na vyšetřovně, kde se bude výkon provádět je pacient uložen do polohy umožňující nejlepší přístup k ložisku. V této poloze musí po dobu výkonu pokud možno bez pohybu setrvat. Lékař provádějící výkon zaměří přístrojem ložisko, určí nejbezpečnější přístup, provede místní znecitlivění místa vpichu, zavede bioptickou jehlu, provede odběr vzorků. Poté jehlu odstraní a místo vpichu převáže.
V případě zavedení drénu k lepší a trvalejší evakuaci tekutého obsahu ložiska se drén většinou po fixaci ke kůži ponechá k dalšímu ošetřování na oddělení nemocnice.
Protože se výkon provádí s lokálním umrtvením místa vpichu jehly, je většinou dobře snesitelný. Nepříjemné bývá pouze samotné zavedení bioptické jehly do ložiska, jedná se však o krátkodobý diskomfort. Trvání výkonu je značně individuální v závislosti na uložení ložiska a jeho vztahu k okolním strukturám, odhad času Vám upřesní lékař, který bude výkon provádět. Po výkonu je pacient odvezen zpět na lůžkové oddělení, kde setrvá zpravidla 1–2 dny.
Je riziko nějakých komplikací?
Výskyt komplikací je obecně nízký, různé zdroje ho určují na 2 až 10 %. Komplikace lze rozdělit na obecné (krvácení, infekce a nezamýšlené poranění orgánu) a na orgánově – specifické, tedy poškození orgánu v cestě bioptické jehly.
Komplikace relativně nezávažné zahrnují bolest v místě intervence, krátkodobé prodloužení pobytu v nemocnici bez jiných závažných komplikací apod.
Lékař, který Vás vyšetřoval, zajistí odeslání získaných vzorků na další vyšetření (patologie, biochemie, mikrobiologie). Definitivní nález bude mít Váš lékař k dispozici většinou až za několik dnů od provedení odběru – zpravidla maximálně do 2 týdnů (zpracování a vyhodnocení vzorků na patologii trvá déle).
Informované souhlasy s intervenčními výkony
- Informovaný souhlas s PRT a FD
- Informovaný souhlas s CHLSE
- Informovaný souhlas s perkutánní biopsií (drenáží) pod kontrolou CT




