Skiagrafická vyšetření
Pracoviště skiagrafie (snímkovny)
Umístění: Pracoviště skiagrafie se nachází hned za vchodem na RTG oddělení.
Na skiagrafická vyšetření není třeba se objednávat. Nutná je pouze vyplněná žádanka od indikujícího lékaře!
Co je skiagrafie?
Princip vyšetření je založen na schopnosti rentgenového záření pronikat hmotou a dle vlastností jednotlivých tkání se specificky zeslabovat. Výsledkem je obraz zachycený na citlivý materiál – rentgenový film či detekční systém přístroje. Rentgenové vyšetření se hodí zejména k posouzení kostí a plic. Dále je možné např. z obsahu plynu ve střevech posoudit průchodnost střeva. Na snímcích lze hledat cizí kovová tělesa v těle.
Provádíme kompletní spektrum základních i speciálních skiagrafických vyšetření skeletu i měkkých částí lidského těla.
Obrazová dokumentace
V případě, že jste byl na naše oddělení odeslán z ambulance nebo oddělení v nemocnici, budou snímky odeslány v elektronické podobě na odesílající oddělení nebo ambulanci. V případě, že jste byl na naše oddělení odeslán z ambulance nacházející se mimo nemocnici a odesílající lékař si vyžádá rentgenové snímky, budou vám tyto snímky vypáleny na CD ihned po vyšetření.
Skiagrafické přístroje
Naše oddělení má dvě skiagrafické vyšetřovny, obě jsou vybaveny přímou digitalizací.
Od dubna 2018 a od října 2019 jsou zde nainstalovány skiagrafické přístroje ARCOMA od firmy Canon.
Další přístroje jsou využívány pro snímkování pacientů u lůžka na oddělení ARO a JIP a dále na katetrizačních a operačních sálech.
Rentgenové snímky jsou archivovány v digitální podobě (PACS).
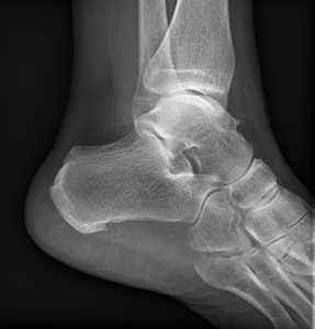
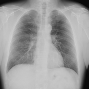
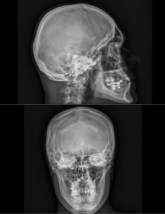
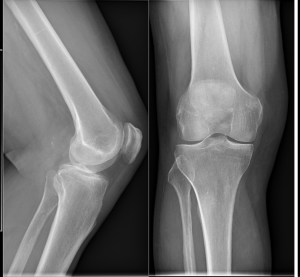
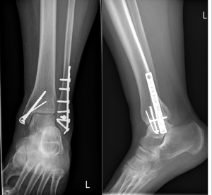
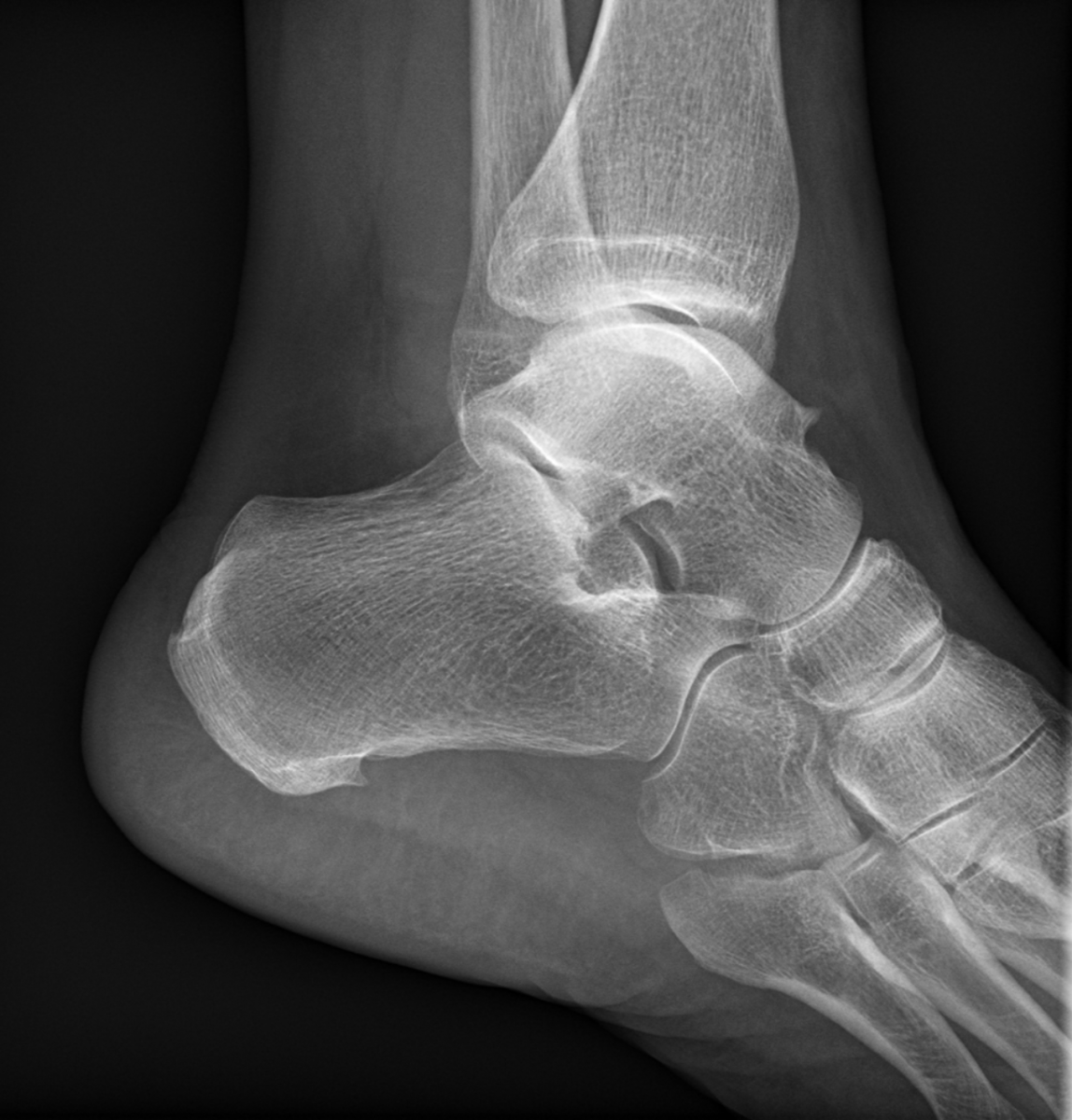
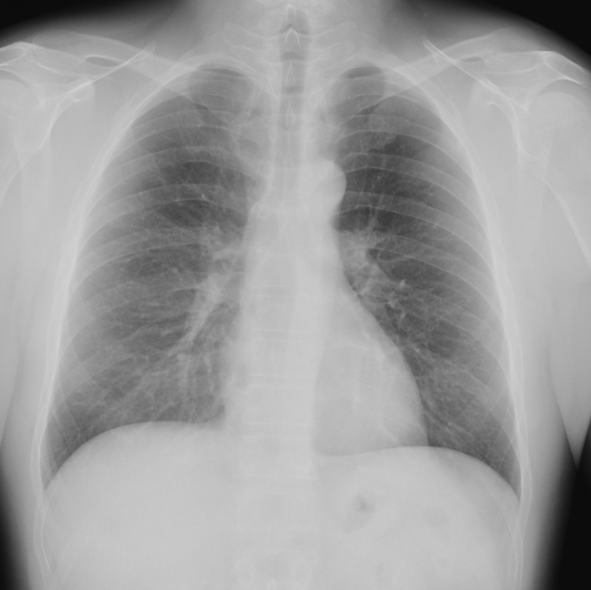
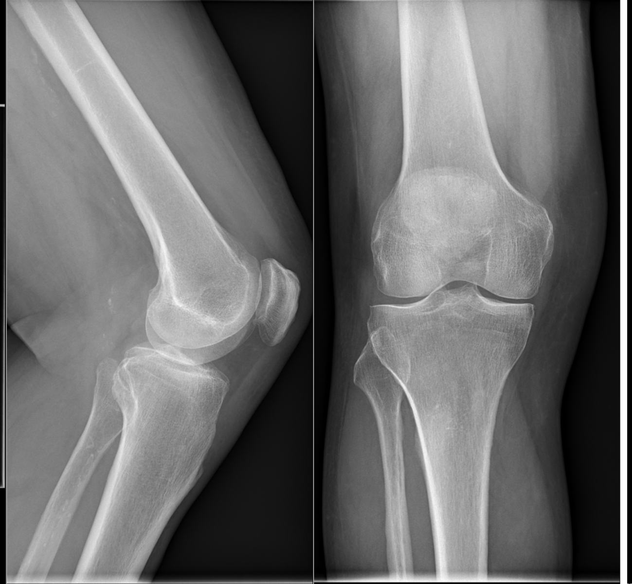
Ukázky RTG snímků







